Home
Shop
Dark Knuckle products
Skin lightening products
Skin glow product
Wigs
Acne/pimple treatment products
Anti-aging products
Sunscreen
Stretch mark treatment products
Skin repair products
Skin moisturizer
Skintag removal treatment
Sensitive skin product
Skin whitening injections
Skin whitening products
Services
Massage
Facial
Pedicure and manicure
Body polishing
Teeth whitening
Teeth scaling and polishing
Waxing
Semi-permanent brows
Semi-permanent lash extension
Lip blushing
Semi-permanent eyeliner
Piercing
Nails
Hair Braiding and Styling
Haircut and Styling
Tattoo
Semi-permanent tattoo
Henna designs
Laser tattoo removal
Pink lip laser
Chemical peel
Stretch mark treatment
Skin IV therapy
PRP treatment
Semi-permanent makeup training
Keloid treatment
Fashion Teeth Braces installation
Teeth gem installation
Varicose/Spider vein treatment
Non surgical rhynoplasty
Dermal fillers
Botox treatment
Gap teeth
PDO thread
Skintag removal
Non surgical fat reduction
Consultation
Teeth filling
Contact Us
Cart
0
Login
Book Appointment
Services
Home
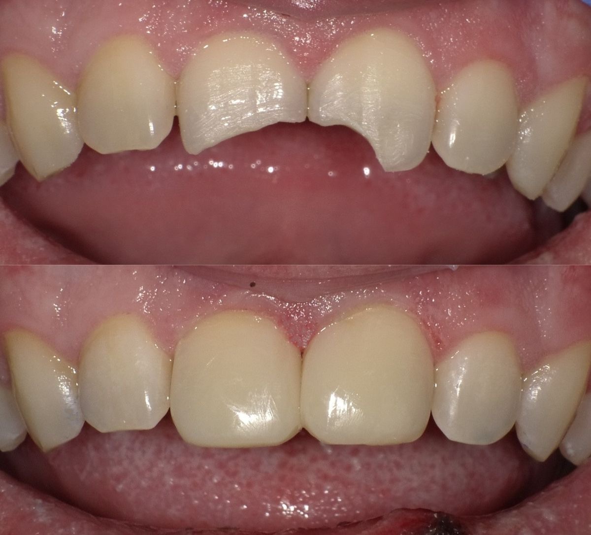
Teeth filling
Our Services for Teeth filling
Browse through our catalog
One teeth filling
Two teeth filling
Three teeth filling
1